Vatech EzRay Premium
Vatech EzRay Premium
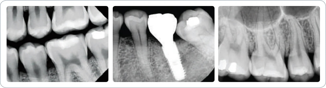
EzRay Premium provides diagnostic values with advanced technology.
A focal spot of 0.4 mm create sharpen images perfectly matched to whatever digital intraoral sensor, PSP or film product you use.
Your payment information is processed securely. We do not store credit card details nor have access to your credit card information.


